• Call Us (852) 2804 6813
  • (852) 5940 4706

Home

Excel Medical Group

笔者于之前三期文章,提及了脑血管外科负责的中风预防和缺血性中风的急救,这次要和读者谈谈出血性中风的急救。

先复习一下缺血性中风,它占了中风个案的七成,成因是脑血管栓塞,急救的方法是要在黄金小时内,用药物或导管微创手术打通血管来拯救缺血而快要死亡的脑细胞。 相对的,占了中风个案三成的出血性中风成因则是脑血管破裂,从脑血管溢出的血块会令颅内压局部或广泛性突然升高,血块挤迫的压力更会直接令脑细胞坏死,急救方法是用药物、微创引流或开颅手术,清除脑内积水或血块来减低颅内压,以拯救受压而快要死亡的脑细胞。

出血性中风主要成因

血管破裂而导致出血性中风的原因,通常是因为先天性或后天性的脑血管病变所造成,成因包括:

动静脉畸形血管瘤

动静脉畸形血管瘤(Cerebral ArteriovenousMalformation AVM)是先天性的,病人的年龄广泛,由四岁小童以至80多岁长者都有。

脑血管动脉瘤

脑血管动脉瘤(Cerebral Aneurysm)爆破,俗称爆血管中风所导致的蛛网膜下腔出血性中风(Subarachnoid Hemorrhage SAH),属于后天性成因,病人年龄介乎28岁至100多岁,一般与高血压没有直接关系。

脑部微丝血管壁破裂

常见的三高(高血脂、高血压、高血糖)亦会令脑部的微丝血管壁变得脆弱而破裂,亦是最常见的爆血管中风之一。 如前文所述,详细客观的身体检查包括颈血管和脑部血管的三维造影,这是筛查人体潜在可致中风危机最有效的方法。 出血性中风急救和病人的命运亦和缺血性中风一样,必须依赖天时、地利及人和的紧密配合。 正如一般人对爆血管中风的形容,出血性中风的症状和严重程度都比缺血性中风来得快、急,病人往往有头痛的症状,病发时除了可能影响言语、面部,出现肢体麻痹无力之外,由于颅内压会在短时间之内突然飙升,病人的情况可能急剧转差以至失去意识或深度昏迷。

个案分享

以下的个案分享,可让我们了解到天时、地利、人和对出血性中风急救的重要性。

个案一:

中风当时29岁的杨小姐14年前,当时29岁的杨小姐,身体健康过着正常的生活,一向没有头痛的症状。 就在新婚后三天的黄昏,丈夫放工回家后发现太太昏迷倒卧在地上,于是立即召唤救护车将太太紧急送到附近的公立医院。 脑部电脑扫描显示病人蛛网膜下腔出血性中风(见图一),怀疑是脑血管动脉瘤爆破,由于该公立医院没有脑血管外科,病人丈夫于是要求将妻子转往私家医院。

三维立体的脑血管动态造影显示,病人大脑左边的后交通动脉有一个爆破了的血管瘤,需要做紧急微创导管手术,脑血管外科医生利用金属丝将脑动脉瘤出血的位置堵塞止血(见图二),防止它在短时间内再次破裂,接着再用药物减低病人的颅内压。 幸好出血性中风对病人大脑的伤害并不严重,病人在手术后两天甦醒过来,经过三星期的休养便康复出院。 三个月后专科医生再为病人植入血液扰流导向支架,将动脉瘤剩余的空间完全封闭(见图三),顺利将脑内剩余的炸弹拆除殆尽后,病人再无后顾之忧。

个案二:

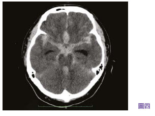
中风当时39岁的李先生三年前,39岁的李先生是位地盘工人,已婚育有一名幼子,为家庭经济支柱。 他身体一向健康,经常运动而且不烟不酒。 某日在工地里突然急剧头痛,继而晕倒在地。 工友立即召唤救护车将他送往附近的公立医院,送院时李先生还是半清醒。 电脑扫描显示他脑部有蜘蛛网膜下腔出血性中风(见图四),从造影可以看到一个约一至二毫米的动脉瘤在李先生大脑的前交通动脉血管之上(见图五)。 不幸的是,在医院观察的第二天早上,李先生突然深度昏迷,紧急电脑扫描显示动脉瘤第二次爆破,而且造成脑部严重积血、颅内压飙升,专科医生需要做紧急开颅手术去清除脑内血块,并将脑室引流以减低脑积水和颅内压(见图六),同时用钛金属夹将爆破的动脉瘤夹闭(见图七),防止它再次爆破。

除了缺血性及出血性两种中风,短暂性缺血发作(俗称「小中风」)则是中风的先兆。 病人有中风征状,惟征状在24小时内完全消失,断层扫描图片上也未必能检测到中风影像。 「短暂性缺血发作」多由血栓导致,但未到血管完全阻塞或脑细胞实际坏死的地步,临床上有两成至两成半病人在中风前曾小中风,只因当时身体快速复元没有求医而未能有效预防其后的中风。

笔者

彭家雄 脑神经外科专科医生

香港大学内外全科医学士
英国爱丁堡皇家外科医学院院士
香港外科医学院院士
香港医学专科学院院士(外科)


Excel Medical Group
error: Content is protected !!