• Call Us (852) 2804 6813
  • (852) 5940 4706

Home

Excel Medical Group

2016-12-3

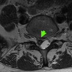
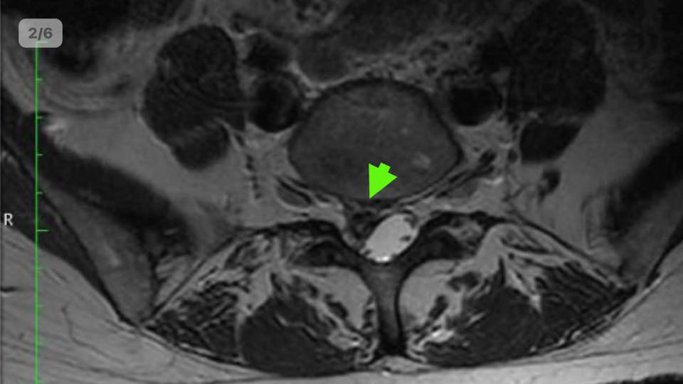
L5S1腰椎間盤突出, 引起神經壓迫和右側嚴重的坐骨神經疼痛,已捱了幾個月!

來自中國大陸的法國女士

脊椎微創顯微鏡的神經外科手術

只需要1.5小時和一個2厘米的小傷口,去根治嚴重的神經疼痛

切除突出的椎間盤,為神經根減壓,及移除L5S1椎間盤空間內的退化和鬆散的椎間盤碎片,以防止將來的疾病復發!

她很高興地在手術後的第1天回家!

(#) 此為個別案例,實際成效因人而異。

筆者

彭家雄 腦神經外科專科醫生

香港大學內外全科醫學士
英國愛丁堡皇家外科醫學院院士
香港外科醫學院院士
香港醫學專科學院院士(外科)


Excel Medical Group
error: Content is protected !!