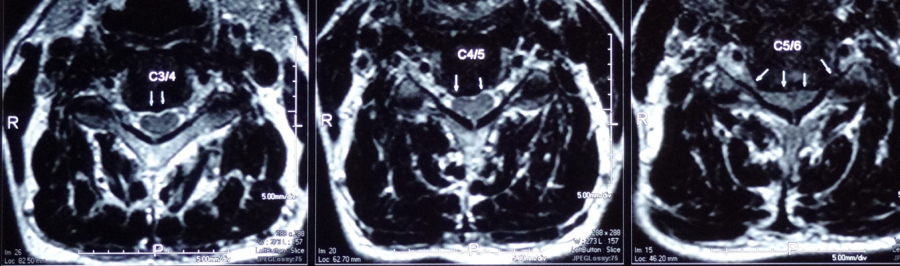
頸椎椎間盤最常見受壓的頸椎關節是頸椎第5節和第6節(C5,6)
頸椎椎間盤突出症狀誤似中風?
以上的徵狀是常見病人來求診的臨床病症,不少人認為,出現頭痛,頭暈,手面痲痺必定是腦部出現問題.
當然引致這些症狀的原因也有很多,除了常見的中風等腦血管病外,其實頸椎病變如椎間盤突出及頸椎椎管狹窄壓著神經線也是其中原因之一.
腦中風與頸椎病的分別:
腦中風的症狀一般以病人的面部痲痺及一邊手或腳乏力,有頭痛現象及對週邊情況冇反應.而頸椎病,如壓著神經線除了頭痛,頭暈,手及面痲痺之外,頸部肌肉拉緊,頸部活動有限及肩背部沉重感覺, 要分辦這些症狀是由腦部或頸椎引起,可透過磁力共振,檢查腦部,腦血管,頸血管及頸椎掃描.腦部檢查最好經由腦神經外科醫生進行,經他們專業的準確分析及診斷,找出病症的原因.
頸椎椎間盤突出
頸椎椎間盤最常見受壓的頸椎關節是頸椎第5節和第6節(C5,6),一般從X光片中可看見椎節之間的空隙變少,椎骨有退化跡象。除頸椎第5節和第6節之外,還有頸椎第3節和第4節(C3,4),亦是受壓較大的部位,而受壓對其他椎節的變化,亦隨之而來。
每節頸椎間盤突出的反射痛及麻痺可分佈於手部不同的位置(圖一)。要分辨椎間盤突出的所在,一定要詳細檢查手部肌力的狀況,進行反射神經測試,並配合病人的徵狀,才能確診。不能單單只靠磁力共震(MRI)得出的報告而作出非必要性的手術治療。磁力共震是幫助醫生確診,並不是幫助醫生來斷症。
(圖一)
除頸椎第5節和第6節之外,還有頸椎第3節和第4節(C3,4),亦是受壓較大的部位,而受壓對其他椎節的變化,亦隨之而來。
頸椎椎間盤治療
一般患頸椎椎間盤突出的病人,感覺頸痛來得十分突然,初期頭部會感到酸痛,痛楚會突然轉變為劇痛和頸部乏力,難以抬頭或頭部不能靈活轉動。此外,頸膊位被拉緊和出現極度疼痛,嚴重時,部分患者的手部亦可能出現麻痺。病人經常坐立不安,睡至半夜,頸部的劇痛甚至令患者痛醒,難再入睡,影響睡眠質素,引發情緒不穩。
治療頸椎椎間盤和腰椎椎間盤的痛症,主要透過頸部Cox椎間盤減壓治療, “官方網頁(www.coxtechnic.com)”,兩者的治療方法大致相同,只是治療的部位不同。進行Cox®軟骨減壓治療時,病人的頸部痛楚是不會在進行1至2次治療後顯著減輕,但由於椎間盤內壓力不能一下子減低,因此,患者在這時可配合冰敷或服食止痛消炎藥來鎮痛,減少患處的痛楚。當然,患者要多休息,不能走動太多,讓患處漸漸調理。當病情好轉後,並要進行加強頸部肌肉鍛鍊和改善工作或日常生活中的錯誤姿勢。
( https://youtu.be/Dlw8EUfMmgM )
部分內容資料題供:彭家雄(腦神經外科醫生)


