• Call Us (852) 2804 6813
  • (852) 5940 4706

Home

Excel Medical Group

2017-3-10

類型:

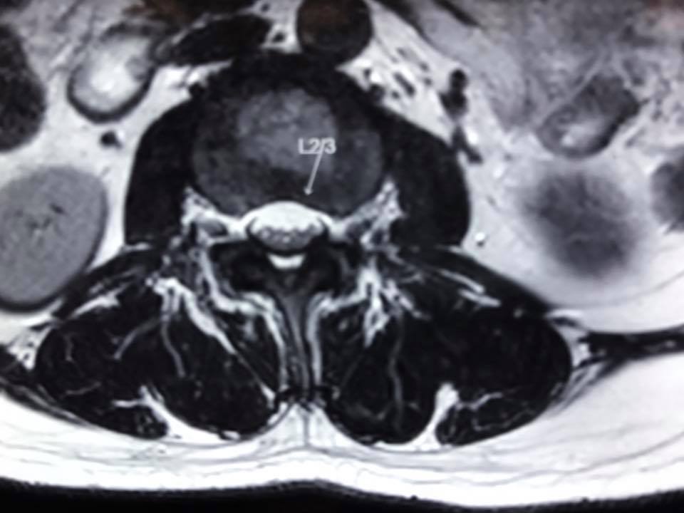
半急症類別,及早手術減壓...以防止神經永久受損而不能服原.

病因:

因退化、勞損、受傷…

  1. 引致椎間盤突出
  2. 和因退化及腰椎不穏定…而增生肥大的韌帶

兩者一起擠壓著馬尾神經線.

症狀:

  1. 腿部神經性疼痛和腿部無力,行動不穩和易跌。
  2. 膀光因為神經線受壓….以致排尿不清、小便軟弱無力….引起排尿困難,經常受尿頻和夜尿困擾, 甚至偶爾失禁。男病人的症狀經常被誤診為前列腺脹大!
  3. 直腸因為神經線受壓以致大便軟弱無力….亦導致經常便秘, 甚至偶爾失禁。

曾經有親朋戚友,甚至醫生嚇唬病人,腰椎手術風險甚高…會導致下身癱瘓及大小便失禁?!

非也…在腦神經外科手術中…腰椎手術比腦或頸椎手術的風險還要低….

現在只要是用2cm 的微創傷口…及顯微鏡下…兩小時的手術…便順利完成拯救所有馬尾神經線了….醒來後….妳能在丈夫及女兒面前即時表示….覺得雙腳非常有力…及所有痺痛症狀即時消失….所以請不要給非專業的嚇怕….會真正導致妳下身癱瘓及大小便失禁的計時炸彈已經拆除….無需要再有任何後顧之憂….亦可照原定計劃….下星期搭飛機去旅遊吧!

(#) 此為個別案例,實際成效因人而異。

筆者

彭家雄 腦神經外科專科醫生

香港大學內外全科醫學士
英國愛丁堡皇家外科醫學院院士
香港外科醫學院院士
香港醫學專科學院院士(外科)


Excel Medical Group
error: Content is protected !!