• Call Us (852) 2804 6813
  • (852) 5940 4706

Home

Excel Medical Group

2017-07-07

腦部血管瘤可引起手腳麻痺

腦部血管瘤可能會出現手腳麻痺、頭痛、身體乏力的徵狀,一般是如何診斷及治療的?

文、圖:註冊脊醫王鳳恩

真實個案

42歳李小姐,家庭主婦,三月中突然覺得右手、右腳麻痺,同時有頭痛及身體乏力症狀,經詳細檢查並進行頸椎磁力共振後,初步診斷為頸椎椎間盤第五、第六 節突出,並開始作Cox® 椎間盤減壓治療

兩天後覆診,病人覺得手部麻痺不但沒有減少,反而連上半身、左手、嘴角都感覺麻痺,且有頭痛、頭暈、手腳乏力、視力減弱現象,整個人都覺得很疲倦。這個症狀不太像只是頸椎椎間盤的問題,而且病人曽經求診普通科,西醫给她止暈藥、鎮靜劑及一些維他命丸,但對病情幫助不大。

與病人討論後便轉介她給腦神經外科,以進一步做腦部檢查及中風伻估檢查。檢查結果顯示,病人患有腦幹海綿狀血管瘤出血(Bleeding Brainstem Cavernoma)。病人服藥後徵狀已大大改善(#),但是否做手術切除血管瘤仍視乎病情的發展。

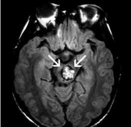
腦部海綿狀血管瘤

腦部海綿狀血管瘤(Cavernomas)(見圖一)是屬於腦血管畸形的其中一種類型,形狀就像一個 「桑子果」(見圖二),多生於微細的血管上,這血管瘤多為良性,屬於較常見的一種先天性腦部血管瘤,多發生在小腦,偶見於腦幹或脊髓。

圖一

圖二

徵狀

這種血管瘤很多時候都不會出現任何徵狀,除非血瘤滲血,就可能引起劇烈頭痛、頭暈、手腳麻痺、復視、精神不振及其他神經功能缺失的症狀。

診斷方法

一般以腦部磁力共振或腦部CT斷層掃描。

治療

一般海綿狀血管瘤為良性病變,可利用藥物治療,或依據病人情況使用微創手術以數碼導航刀放射技術切除血管瘤。

資料題供:脊醫王鳯恩

(#) 此為個別案例,實際成效因人而異。

筆者

王鳳恩 香港註冊脊骨神經科醫生

美國脊骨神經科醫學院博士


Excel Medical Group
error: Content is protected !!