• Call Us (852) 2804 6813
  • (852) 5940 4706

Home

Excel Medical Group

2019-07-17

腦膜腫瘤的開顱手術

腦膜瘤(Meningioma)是排名第二常見的原發性顱內腫瘤,僅次於神經膠質瘤,佔顱內腫瘤約1524%

 

屬良性腫瘤  完全切除便能根治

腦膜瘤每年發生率約每10萬人當中就有6人患上,且在任何年齡皆可能發生,尤其於30至50歲的成人,當中以女性居多,男女比率約為1比2。約95%的腦膜瘤皆是良性,其生長緩慢,平均每年以1至2厘米或體積3.6% 的速度慢慢地生長,所以往往在病人腦內潛伏了頗長時間。

有報告認為,腦膜瘤出現早期症狀平均為2.5年,更有少數的腦膜瘤病人達6年之久。由於生長速度緩慢病人不易早期察覺,當出現症狀時腫瘤通常已經很大。腦膜瘤病人的神經症狀,視乎腫瘤的位置及神經受到壓迫的程度而不同。腫瘤壓迫亦可導致腫瘤周圍的腦神經水腫,令顱內壓力增高。最常見的症狀有頭痛、頭暈、半邊手腳麻痺或者乏力、步態不穩、視力模糊、嗅覺或聽覺障礙、性情轉變、嘔吐、癲癇、神經疼痛等。

由於腦膜瘤是良性的腫瘤,完全切除便能根治。如果不能完全切除,切除部分腫瘤來為神經減壓,效果也都很良好。部分切除手術後,再配合立體定位放射治療,可治癒大多數的腦膜瘤。一般而言長於大腦凸面表面的腦膜瘤,在安全及風險容許的情況下,腦神經外科醫生會力爭完全切除,以減少復發機會。但如果腫瘤的位置屬於危險區域(如位於蝶骨翼內側、眶、矢狀竇、腦室、腦橋小腦角、視神經鞘或斜坡),完全腫瘤切除手術可能會有導致神經功能永久喪失的風險,醫生便會選擇部分腫瘤切除以為神經減壓。

 

個案一:腦下垂的顱底良性腦硬膜瘤

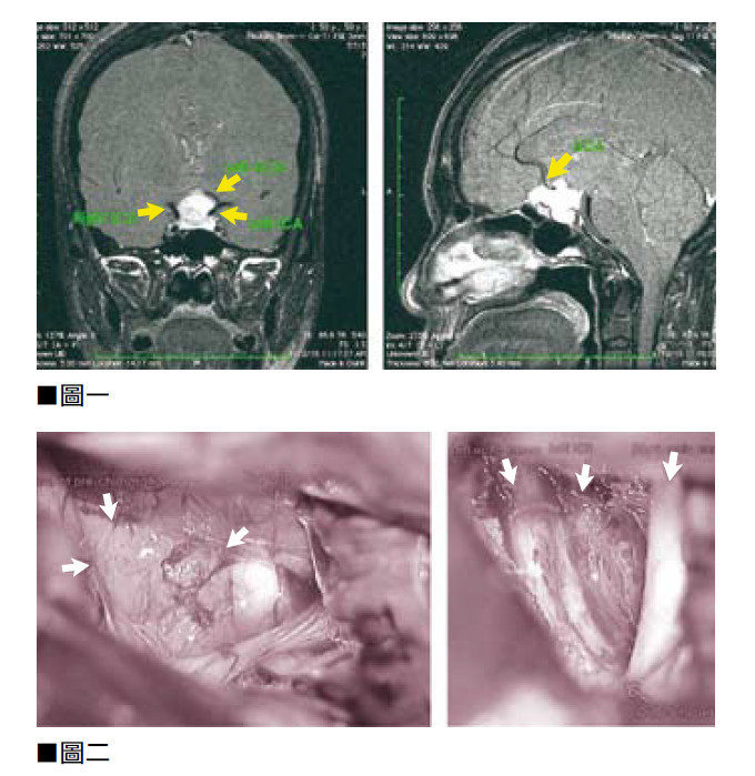
這是2015年的病例,一位來自中國內地50歲的女病人,症狀包括六個月的頭痛、視線模糊。從在中國做的磁力共振顯示,病人腦下垂顱底骨基部有2厘米的腫瘤,向腦上延伸和壓迫着視覺神經,在兩側亦包住雙側腦內主大動脈(ICA)和前大腦動(ACA)。(見圖一)

為她進行了六小時的微創開顱手術,在顯微鏡下將腫瘤全面切除,為視覺神經減壓,雙側腦內主大動脈(ICA)和前大腦動脈(ACA)得以保存完好。(見圖二)手術後病人的視力亦恢復正常,三天後返回中國內地。一年後及四年後的磁力共振檢查都證實腫瘤沒有復發的跡象。

 

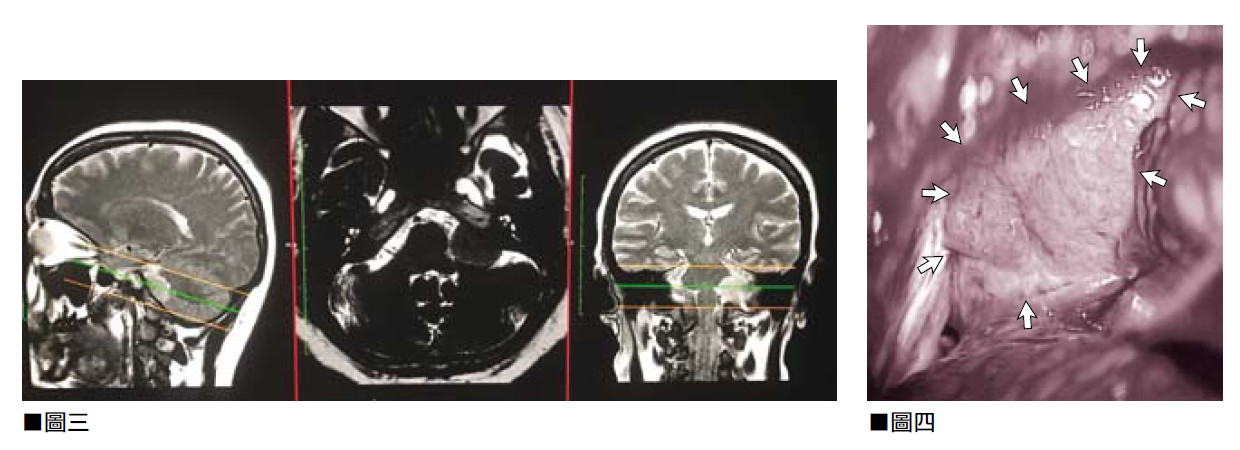
個案二:3厘米的左側巖骨斜坡良性腦膜腫瘤

腦膜腫瘤導致病人腦幹和顱底第5至12條神經線受到壓迫和變形扭曲。(見圖三)症狀包括左側面部神經出現如觸電般的痺痛。病人接受了微創腦神經外科手術,在持續神經功能傳導的監測下,筆者進行了12小時的微創顯微鏡腦神經外科手術,將腫瘤完全切除。(見圖四)

因為腫瘤壓迫着腦幹和顱底神經線,尢其是將第7條(面部神經)及第8條(聽覺神經)的顱底腦神經線嚴重推移,以致神經線扭曲變形。在腫瘤切除手術過程中,筆者以1至2厘米的手指動作操作,其力度、方法及方向都要精準無誤,長時間集中精神從腫瘤的周邊和裏面尋找及保護神經線。

有關手術的風險,最常見的神經損傷就是永久失去聽力,或是暫時或永久性的臉部神經癱瘓。醫學文獻中有些病例,手術風險和併發症甚至會導致腦幹神經或血管受損,導致嚴重傷殘甚至死亡。幸運的是,這位病人所有顱底的腦神經線及其功能、微小血管,以及腦幹主要的基底動脈,全部均完好保存沒有損傷。

回想起來這的確是一項十分艱辛的任務,12小時的手術後已是凌晨時分,比我們預期的6小時足足長了一倍,為的就是要小心翼翼將腫瘤和極微細脆弱的神經線及血管分開,並且將腫瘤跟腦幹和小腦的正常神經組織分開。手術過程中,醫生本身的腎上腺素會自行提升,所以感覺不到任何生理(吃喝、疲累和如廁)的需要。但手術完後,筆者的手部及肩背就會極為疲累、十分疼痛,但見到手術成功一切都是値得的!

由於徹底清除腫瘤,原先計劃的術後數碼導航刀電療便不再需要。病人手術後一個月及手術後兩年的的磁力共振,均顯示腫瘤已經完全切除,同時沒有復發的跡象。

 

筆者

彭家雄 腦神經外科專科醫生

香港大學內外全科醫學士
英國愛丁堡皇家外科醫學院院士
香港外科醫學院院士
香港醫學專科學院院士(外科)


Excel Medical Group
error: Content is protected !!