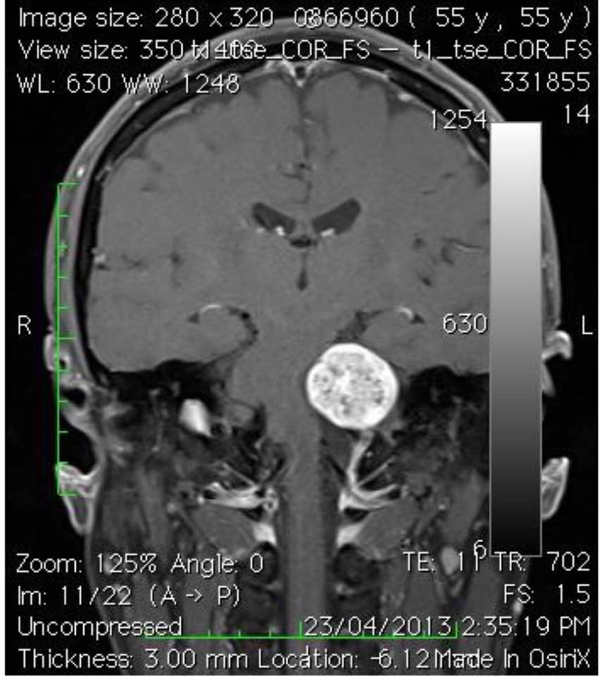
2017-05-16 By Medical Excel Medical Group2017-5-16 保護聽覺和面部神經的微創顯微鏡腦神經外科手術, 結合手術三個月後的Cyberknife放射治療 4年前的6小時顯微鏡手術下,我要非常謹慎及技巧地保存你的聽覺神經和面部神經線, 借助腦神經線功能手術中的監察系統, 幫你進行腫瘤囊內的切除術. 為着的是要保留您的聽覺神經和面部神經線, 因為兩條神經線都貼附及結合在腫瘤之囊壁. 手術後, 您繼續享有與手術前一樣的良好聽力 術後3個月, 我再利用Cyberknife放射治療來控制餘下的三成腫瘤生長並使其收縮 . 雖然您的聽力稍微受到Cyberknife的輻射效應影響, 但與其他患有同樣大的聽覺神經腫瘤的病者相比, 您已經享有最佳的臨床治療效果. 4年後的今天, 你左耳的聽力仍是一樣的保存良好, 可享受你的退休生活. (#) 此為個別案例,實際成效因人而異。 筆者 彭家雄 腦神經外科專科醫生 香港大學內外全科醫學士英國愛丁堡皇家外科醫學院院士香港外科醫學院院士香港醫學專科學院院士(外科) 更多 Excel Medical Group Share :