案例一:39歲的職業模特兒
39歲的David是一位職業模特兒,今年2月因做舉重運動時扭傷了頸部,初時以為是肌肉發炎,但兩星期後仍然覺得頸部及手部痠軟無力、痺痛。接受了X光檢查,在X光片上沒有發現任何骨骼病變或椎孔收窄的情況,看起來應不是椎間盤突出的症狀,醫生便開了消炎止痛及鬆弛肌肉的藥物。初時服了藥物後是紓緩了一點,但相隔了兩個月後發現上手臂及右肩背肌肉有萎縮的跡象,而且在舉重時上手臂不能夠發力,感覺手軟、身體開始無力!筆者觀察他的肌肉萎縮情況並了解病歷後,認為應該是椎間盤突出的原因,由於X光片上只能看見頸椎第六、七節椎間輕微收窄了一些,而在照椎孔那張X光片上又看不見頸椎第六、七節有收窄的現象,相信單靠X光並不能夠為他確診出任何原因,後來筆者在診所內幫他做了磁力共振掃描,發現他頸椎第六、七節有一個頗大的椎間盤突出壓向右邊神經根,這處便是影響他右邊肩背、手部肌肉萎縮及右手無力的原因,而頸椎第五、六節間也有椎間盤突出,這便是造成他右手麻痺的因素。
X光片上只能看見案例一患者頸椎第六、七節椎
間輕微收窄了一些
透過磁力共振掃描,可見到案例一患者頸椎第六、七節有一個頗大的椎間盤突出壓向右邊神經根,而頸椎第五、六節間也有椎間盤突出
案例二:71歲的退休人士
71歲的張女士是一位退休人士,酷愛行山攝影,近幾個月發現左腳疼痛及麻痺,症狀是稍
微長時間走路左腳便無力及麻痺,左邊盆骨位置隱隱作痛。從醫生幫她拍的X光可以看見腰椎側彎,盆骨稍微一高一低,整條腰椎骨退化,腰椎第五節骶骨第一節空間收窄,判斷為腰椎五節椎間盤突出及盆骨錯位,但做了多次糾正盆骨治療都沒有太大改善!
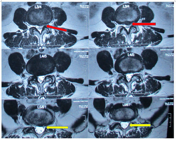
之後筆者在診所內幫她拍磁力共振掃描,發現她的症狀不是因為腰椎第五節有椎間盤突出及狹窄(雖然從X光中見到腰椎第五節與骶骨第一節空間真的變小,但也未必能判斷就是腰椎第五節椎間盤突出),反而見到的是腰椎第三、四節間椎間盤突出及椎管狹窄,並壓着左邊神經根而引起她的左腳麻痺疼痛,而且發現她的腰椎第五節椎間盤沒有突出,椎管亦沒有狹窄的情況
圖左:從X光看見個案二患者腰椎側彎,盆骨稍微一高一低;圖右:腰椎第五節骶骨第一節空間收窄。
透過磁力共振掃描,可見到案例二患者腰椎第三、四節椎間盤突出及椎管狹窄壓着左邊神經根,而不是X光看到的腰椎第五節的問題
磁力共振掃描可確診椎間盤有否突出, 並了解脊椎神經的狀況, 繼而做出精準治療方案對症下藥。
透過磁力共振才可確診椎間盤病症
根據以上兩個個案分享,可知我們能從磁力共振掃描清楚分別出哪節椎間盤突出,哪節
脊椎產生椎管狹窄及哪段神經線被壓!如果只看X光觀察脊骨弧度、椎間盤位置的距離、
脊骨滑脫、骨刺及脊椎孔收窄,又或做指定肌肉及神經反射測試,都不能確診患者是否患
有椎間盤突出的症狀,必須透過磁力共振掃描才可確診椎間盤有否突出,並了解脊椎神經的狀況,繼而做出精準方案對症下藥,避免延誤治療。
( https://youtu.be/prDl8QhozCM )


