2017-3-3
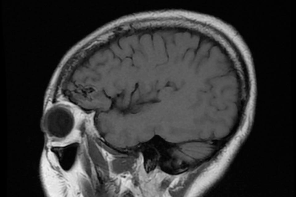
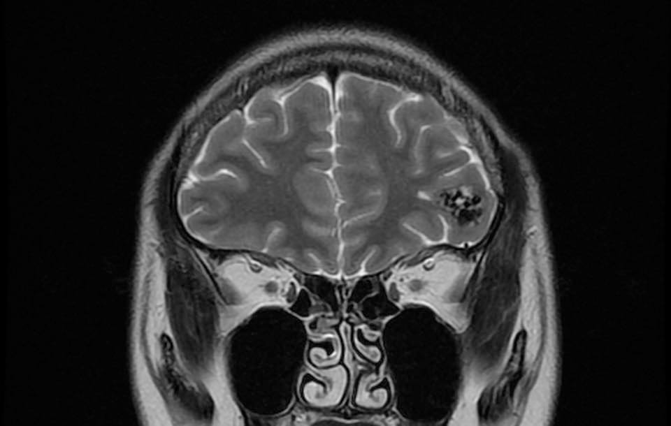
左前額大腦葉的動靜脈畸形血管瘤(AVM)流血並引起廣泛性、強直陣攣性驚厥的嚴重腦癇症….導致喪失意識誤導性的大腦MRI報告…..發現均屬正常
病史:
一名40歲女士被發現在家中暈倒、意識不清….而被送入公立醫院。
CT電腦掃描,腦電波圖和血液化驗結果….獲告知是正常的。
她3天後出院,並以非常優惠的價錢獲轉介到私營的MRI中心做腦部檢查。
據MRI報告指出….腦中所有發現均屬正常,病人於是非常開心地攜帶MRI底片及報告回公立醫院覆診。
專科門診應診的腦科醫生亦對正常的報告感到滿意,於是叫病人3個月後才再覆診。
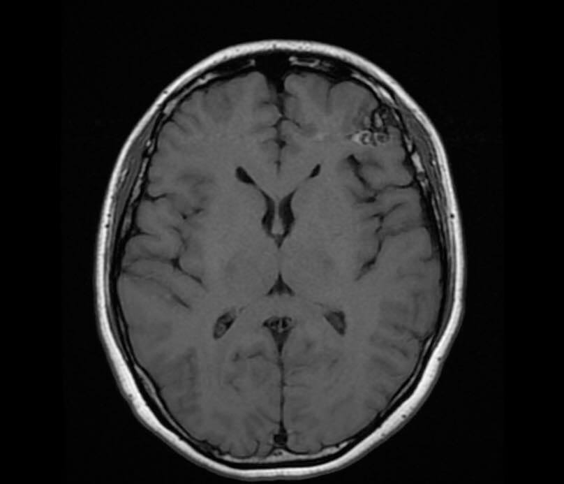
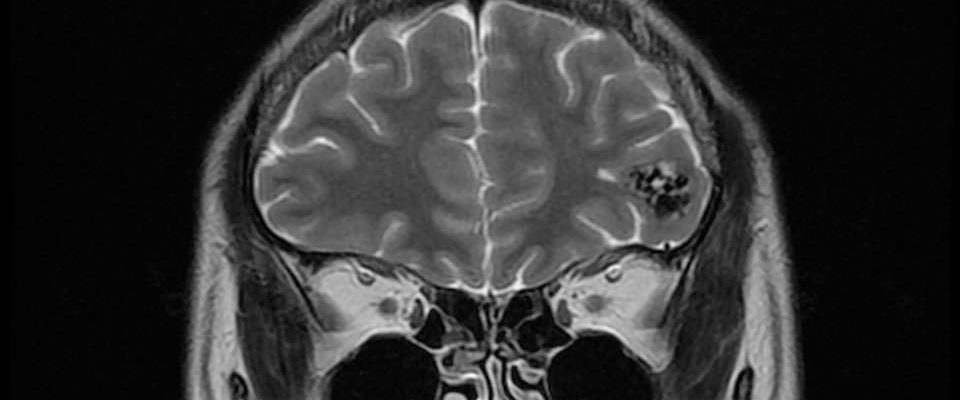
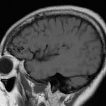
病人….被另一名曾經嚴重腦出血性中風(腦動脈瘤破裂以致嚴重的蜘蛛綱膜下腔出血及曾經瞳孔放大和深度昏迷…其後完全康復)的病人介紹…..帶MRI 底片到我診所尋求第二醫療諮詢….. 其時心情亦愉快…….直到….看了MRI 影像後…..我告訴她真正的MRI檢查結果……她的左前腦額葉上….有一個3cm大的腦動靜脈畸形血管瘤(AVM).. ….亦有最近出過血的跡象…可能是她失去意識和腦癇症的原因。
兩天後….在私家醫院為她做診斷式的動態腦血管造影來確定䐉血液的流動模式後,再進行了4 小時的顯微鏡手術….AVM的計時炸彈完全切除……..在AVM旁邊的腦部亦能看到血鐵黃素的舊有殘留血液。手術後兩天出院。
(#) 此為個別案例,實際成效因人而異。



流血.docx-1-1-150x150.jpg)
流血.docx-2-1-150x150.jpg)
流血.docx-3-1-150x150.jpg)
流血.docx-4-1-150x150.jpg)
流血.docx-5-1-150x150.jpg)
流血.docx-6-1-150x150.jpg)